WELCOME TO OUR DENTAL CLINIC

We’re a Dental Clinic based at 33 Claribel Road, Windermere, Durban, South Africa.

CONTACT US TODAY FOR AN APPOINTMENT: 031 201 5134

Curious About What We Have To Offer?

WE OFFER A VARIETY OF DENTAL SERVICES:

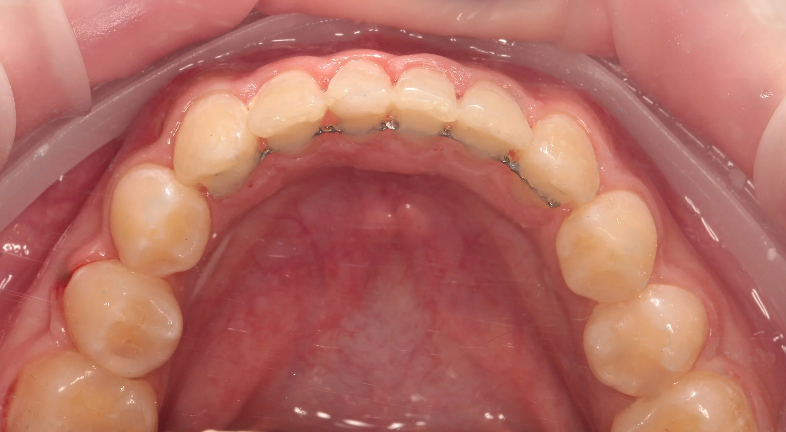
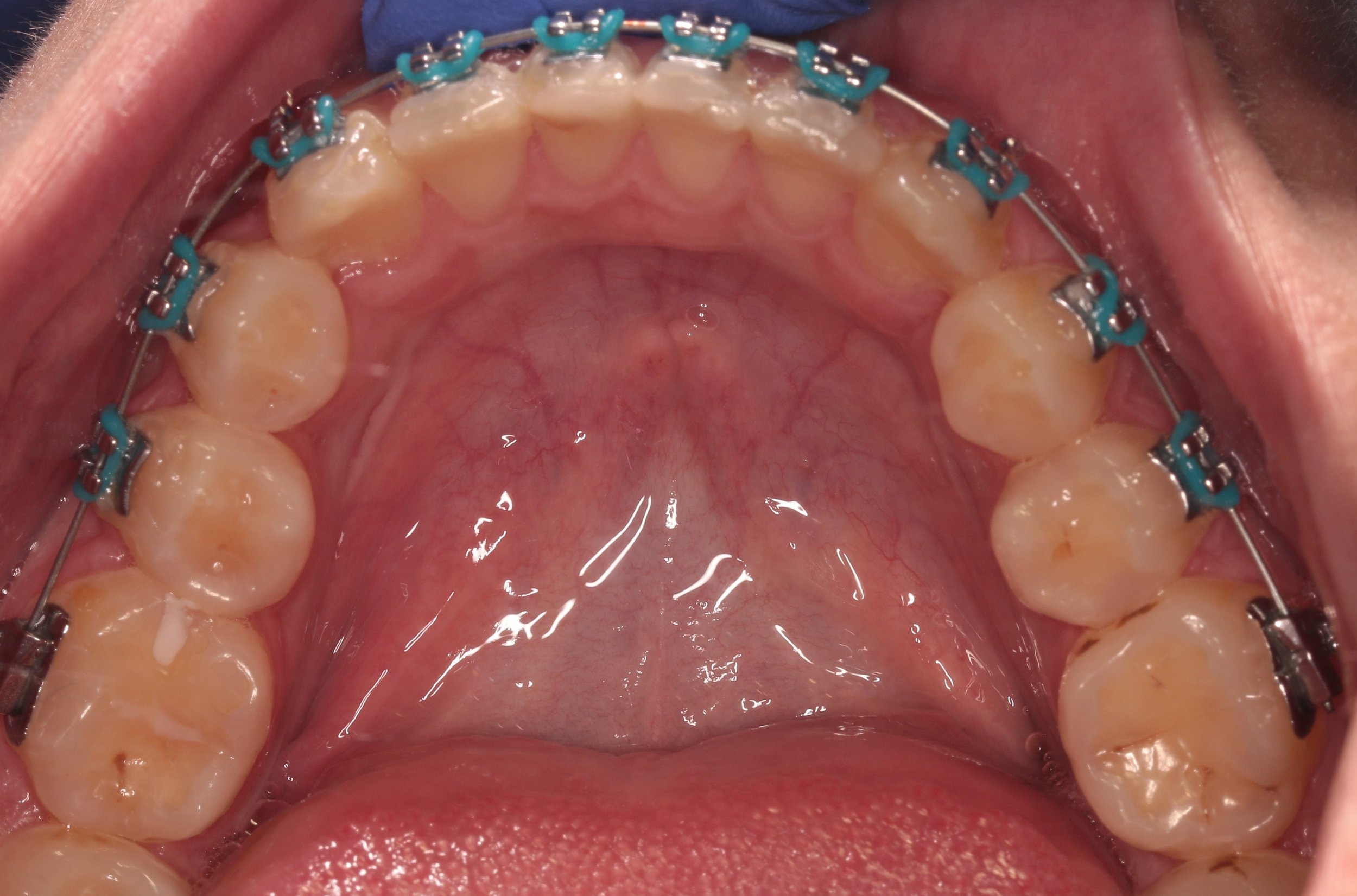
  • Every wanted to straighten your smile? Do it with us! We offer affordable orthodontic treatment to our patients all over Durban!

    We offer orthodontic treatment to children, teenagers and adults.

    We offer extraction free orthodontics which expands the jaws ever so slightly to allow space for crowded and impacted teeth.

    Payment plan is created to pay braces off monthly until treatment is completed.

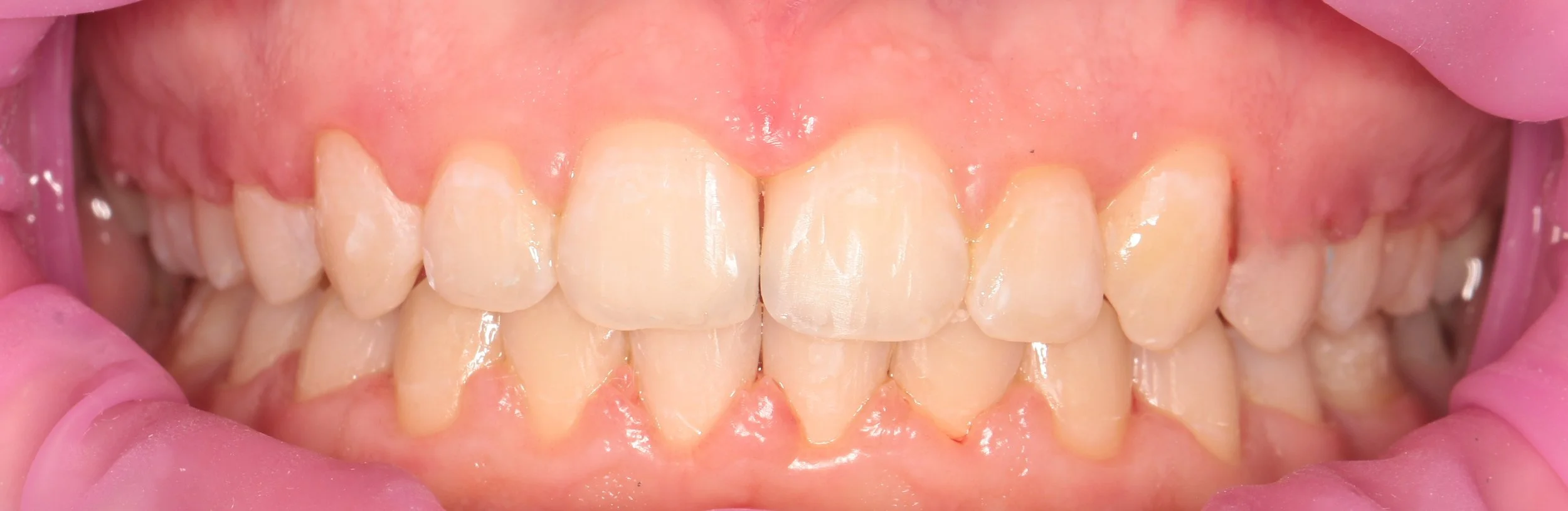
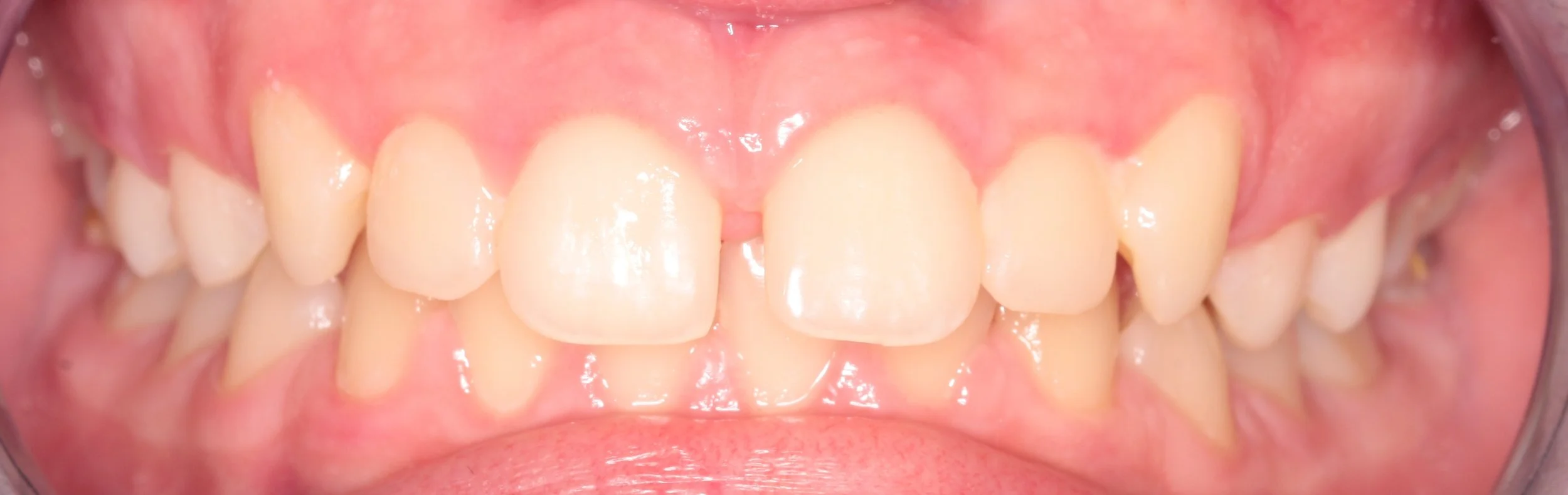
  • We offer a large variety of aesthetic dental options such as Veneers, Crowns, Bridges, Smile Makeovers and Teeth Whitening to all of our Durban patients!

  • We focus on providing the best possible dental treatment by focusing on perfect dentistry. This is done through he use of dental loupes, the latest dental technology and the use of intra-oral scanners.

    We offer bread and butter normal dentistry such as fillings, dentures, general examinations and cleanings.

  • We have access to the latest dental techology such as Cerec machines which mill in house crowns and bridges. We also have access to intra-oral scanners which throw out old dental impression material!

    We can create new crowns and bridges for all of our patients within an hour!

  • Widely advertised as clear aligners or invisalign. These trays move your teeth slowly with time and allow for aesthetically pleasing teeth straightening without having to worry about wearing braces.

  • With the latest advances of root canal treatments it’s no longer necessary to go through painful, long root canal appointments anymore! We do it pain free within minimal time!

  • We are able to sort out any dental pain with our immediate pain relief techniques! Whether it is root canal treatment or extraction needed, we discuss, explain and communicate the treatment with you.

DENTAL ROOMS

TEETH WHITENING

FRONT TEETH RESTORED

Orthodontics

We are located at 33 Claribel Road, Windermere, Morningside, Durban.


Only 10 minutes from Durban North.

Only 15 minutes away from Gateway shopping centre.